Correction of a Severely Rotated Mandibular Canine in an Adult Patient Using Invisalign: A Case Report

Authors

  • Karina Andrea Pando CUENCA UNIVERSITY
  • Edison Román Aguilar
  • Manuel Estuardo Bravo

DOI:

https://doi.org/10.23954/osj.v3i2.1515

Keywords:

Severe rotation, Canine, Invisalign system

Abstract

Introduction: The Invisalign system has been used in the orthodontic treatment of numerous types of malocclusions. However some clinicians have reported difficulty incorrecting rotations particularly in canines and premolars using the Invisalign appliance system. This case report describes the orthodontic treatment of an adult patient with severe canine rotation (more than 45°) and crowding on upper and lower tooth.

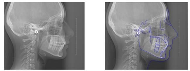
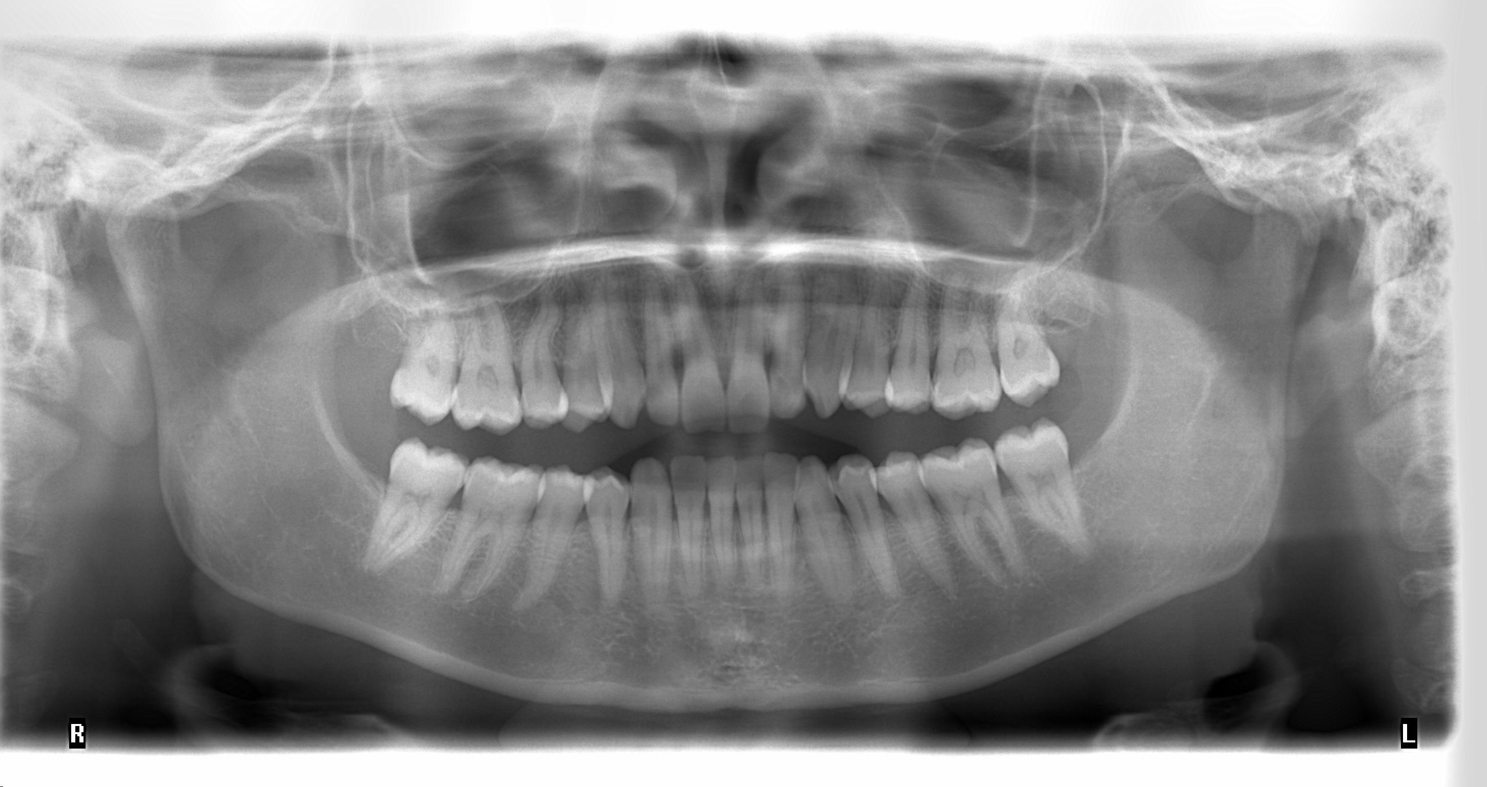
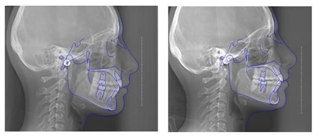
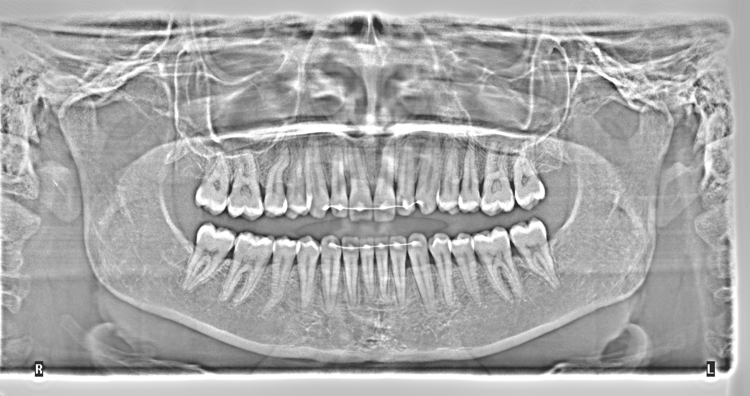
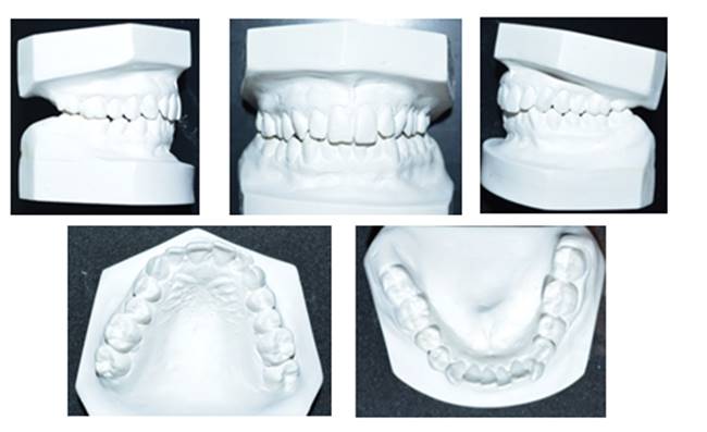
Methods: The clinical examination included extra-oral and intra-oral photographs, panoramic radiographic, lateral cephalometric, stone casts, and upper and lower arch analysis obtained from ClinCheck 3.0.The treatment planning was resolved the crowding in both upper and lower arches and the severe rotation of 33 tooth (46°) using Invisalign system as well as the canine and molar relationship, dental verticalization, adequate over jet, overbite and dental midline using the same system. The duration of the treatment was approximately eight months.

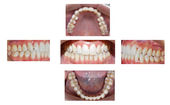
Results: In Post-treatment extra oralphotographs, no significant changes were observed at the end of the treatment. Intraoral photographs showed an important and notable improved aesthetics. The canine relationship improved slightly and molar Class Irelationship was maintained. An increase in transverse diameter was observed at the level of first premolars, second premolars and first molars. The overbite was improved. The crowding and the severe canine rotation were corrected. No obvious root resorption was radiographically evident and slight cephalometric changes.

Conclusion: The treatment with the Invisalign system resolved the complaint of our patient so this system could be considered as an option that offered good results in the treatment of upper and lower crowding of arches involving severe canine rotation.

Author Biography

Karina Andrea Pando, CUENCA UNIVERSITY

ORTODONCIA-ESTUDIANTE

References

Shalish M, Cooper-Kazaz R, Ivgi I, Canetti L, Tsur B, Bachar E, et al. Adult patients’ adjustability to orthodontic appliances. Part I: a comparison between Labial, Lingual, and Invisalign™. European Journal of Orthodontics. 2012;34(6):724-30.

Pagani R, Signorino F, Poli PP, Manzini P, Panisi I. The Use of Invisalign® System in the Management of the Orthodontic Treatment before and after Class III Surgical Approach. Case Rep Dent. 2016;2016:9231219. doi: 10.1155/2016/9231219. Epub 2016 Jun 27.

Fujiyama, K., Honjo, T., Suzuki, M., Matsuoka, S., & Deguchi, T. (). Analysis of pain level in cases treated with Invisalign aligner: comparison with fixed edgewise appliance therapy. Progress in Orthodontics,2014 15(1), 64.

Zawawi KH. Orthodontic Treatment of a Mandibular Incisor Extraction Case with Invisalign. Case Reports in Dentistry. 2014;2014:4.

Ogura Y, Yanagisawa W, Sugiura M, Fujita Y, Yamaguchi T, Maki K. Treatment of a Patient with Class I Malocclusion and Severe Tooth Crowding Using Invisalign and Fixed Appliances. Dental Medicine Research. 2014;34(1):36-40.

Robert L. Boyd, D. “Esthetic Orthodontic Treatment Using the Invisalign Appliance for Moderate to Complex Malocclusions” Journal of Dental Education August 1, 2008 vol. 72 no. 8 948-967. .

Duncan LO, Piedade L, Lekic M, Cunha RS, Wiltshire WA. Changes in mandibular incisor position and arch form resulting from Invisalign correction of the crowded dentition treated nonextraction. The Angle Orthodontist. 2016;86(4):577-83.

Grünheid T, Loh C, Larson BE. How accurate is Invisalign in nonextraction cases? Are predicted tooth positions achieved? The Angle Orthodontist. 2017;87(6):809-15.

Kravitz ND, Kusnoto B, BeGole E, Obrez A, Agran B. How well does Invisalign work? A prospective clinical study evaluating the efficacy of tooth movement with Invisalign. American Journal of Orthodontics and Dentofacial Orthopedics. 2009;135(1):27-35.

Gianluigi F, Tommaso C. Correction of severe tooth rotations using clear aligners: A case report . Australian Orthodontic Journal, 2012;28: 245-249.

Kravitz ND, Kusnoto B, BeGole E, Obrez A, Agran B. How well does Invisalign work? A prospective clinical study evaluating the efficacy of tooth movement with Invisalign. Am J Orthod Dentofac Orthop. 2009;135.

Phan X, Ling P.Clinical Limitations of Invisalign. Journal of Canadian Dental Association, 2007;73:263-266.

Wiboonsirikul S, Manopatanakul S, Dechkunakorn S. Invisalign update: A review of articles. Dental Journal, 2014;34:174-180.

Kravitz ND, Kusnoto B, Agran B, Viana G. Influence of Attachments and Interproximal Reduction on the Accuracy of Canine Rotation with Invisalign. The Angle Orthodontist. 2008;78(4):682-7.

Krieger E, Seiferth J, Marinello I, Jung BA, Wriedt S, Jacobs C, et al. Invisalign® treatment in the anterior region. Journal of Orofacial Orthopedics / Fortschritte der Kieferorthopädie. 2012;73(5):365-76.

Grünheid T, Gaalaas S, Hamdan H, Larson BE. Effect of clear aligner therapy on the buccolingual inclination of mandibular canines and the intercanine distance. The Angle Orthodontist. 2016;86(1):10-6.

Kuncio D, Maganzini A, Shelton C, Freeman K. Invisalign and Traditional Orthodontic Treatment Postretention Outcomes Compared Using the American Board of Orthodontics Objective Grading System. The Angle Orthodontist. 2007;77(5):864-9.

Downloads

Published

2018-04-07

How to Cite

Pando, K. A., Aguilar, E. R., & Bravo, M. E. (2018). Correction of a Severely Rotated Mandibular Canine in an Adult Patient Using Invisalign: A Case Report. Open Science Journal, 3(2). https://doi.org/10.23954/osj.v3i2.1515